脾外伤了,CT表现是这样的……

脾脏是腹腔脏器中最易受损伤的器官之一,约25%的患者在腹部创伤中利用CT进行评估分级。脾损伤有时会出现左上腹部压痛(50%-60%患者会发生)或低血压(发生率30%)。CT对比增强诊断脾损伤的敏感性约95%,而这一也成为钝性脾损伤患者首选的检查方法。

(上图为脾撕裂伤3级,红箭头所指为活动性出血。)
脾破裂CT平扫表现结合临床分为4种:脾包膜下血肿、脾实质内血肿、脾撕裂伤及脾粉碎、伴有或不伴有腹腔积血,各种的CT表现都不同。单纯的脾内血肿以及脾包膜下血肿可因包膜未破而无腹腔积血征象。实际上多数情况下脾包膜下血肿、脾内血肿、脾撕裂伤往往两种或两种以上表现同时存在以脾撕裂伤和脾内血肿同时出现概率较高,而单一类型的损伤较为少见。
国内外对于外伤性脾破裂的分级方法多达几十种,这些分级系统都是在实践的基础上总结而成的, 各自从不同的侧面、不同程度地反映了脾破裂的特点和规律, 很具有科学性和实用性,今天结合以下介绍Gay4级法分级。
Ⅲ级:撕裂伸展至脾门及脾实质内,血肿直径>3 cm;

(损伤分级模式图)

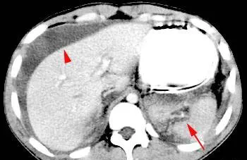
(脾破裂4级)

(脾撕裂3级伴腹水形成)
平扫能够诊断大多数的脾脏钝性损伤,可满足临床需要。CT增强扫描可发现细微的脾脏挫伤,减少脾损伤的漏诊率;由于增强扫描动脉期脾脏实质呈不均匀花斑样强化,而门脉期呈较均匀一致强化改变,故我们观察脾脏损伤时常选择门脉期。弥补了平扫的不足。
对于较明显和严重的脾脏损伤,CT增强扫描除了能进一步显示损伤程度外,对脾脏血管的损伤是最好的补充,可明确诊断有无脾动脉的断裂及对比剂外溢情况。
对临床分型及治疗方案的选择提供有力的证据。单纯的脾内血肿及包膜下血肿,应在临床密切观察下行非手术治疗。
对于急、危重患者和烦躁患者,CT增强扫描与平扫相比具有它的优越性,建议直接CT增强扫描。

(脾裂为脾脏的一种正常变异,常与脾撕裂混淆,记住脾裂的边缘是光滑的,与脾周的液体如血液无关。)
专家推荐

刘永庆 主任医师 外科主任
从事普外科工作40多年,中华医学会会员,皖南医学院兼职教授。毕业于第三军医大学,擅长腹部胃肠道肿瘤、甲状腺、腹外疝等疾病的诊治,肝、胆切除,胰十二指肠切除,臀大肌游离、原位肛门重建治疗、低位直肠癌根治术。